인디바 듀얼
두 고객층을 위한 하나의 솔루션.
만약 두 고객을 함께 치료한다면, 하나의 도구를 가지는게 좋지 않을까요? 두 고객, 말과 기수를 하나의 디바이스로 치료하십시오.
두 고객층을 위한 하나의 솔루션.
만약 두 고객을 함께 치료한다면, 하나의 도구를 가지는게 좋지 않을까요? 두 고객, 말과 기수를 하나의 디바이스로 치료하십시오.
두 고객층을 위한 하나의 솔루션.
만약 두 고객을 함께 치료한다면, 하나의 도구를 가지는게 좋지 않을까요? 두 고객, 말과 기수를 하나의 디바이스로 치료하십시오.
두 고객층을 위한 하나의 솔루션.
만약 두 고객을 함께 치료한다면, 하나의 도구를 가지는게 좋지 않을까요? 두 고객, 말과 기수를 하나의 디바이스로 치료하십시오.
인간과 동물의 치료에 대한 35년간의 경험과 과학적 증거를 기반으로, 말과 라이더 모두에게 사용할 수 있게 인증을 받은 유일한 주파수 디바이스인 인디바 듀얼*을 만들었습니다.
다재다능한 당신을 위해 우리는 더 다재다능해 집니다?
*인디바 듀얼은 영국& 및 아일랜드 지역에서만 제공됩니다. 듀얼 기기를 사용할 수 있는 분은 반드시 사람과 말 모두에 ACPAT/SOAP/MCA 또는 BVCA 전문가에게 시술할 수 있는 공인된 전문가여야 합니다. 궁금한 점이 있으면 저희에게 연락해주세요.
만약 두 고객을 함께 치료한다면, 하나의 도구를 가지는게 좋지 않을까요? 두 고객, 말과 기수를 하나의 디바이스로 치료하십시오.
인디바 듀얼 디바이스는 전문가의 기본 니즈를 커버합니다*:
사람과 말 모두에게 인디바 테크놀러지를 사용함으로써 얻을 수 있는 독특한 장점은 다음과 같습니다:
고주파의 치료적 적용은 치료된 조직의 열 증가(투열요법)와 그 효과를 기반으로 합니다. 또한 인디바(INDIBA) 테크놀러지는 세포 구조에 448kHz 고주파의 독특하고 과학적으로 입증된 전기적 효과를 생성하여 조직 복구 메커니즘의 가속화를 촉진합니다.
인디바(INDIBA) 테크놀러지는 전기적 효과에 의해 발생하는 생체 자극이나 생체 자극과 조직 열 발생을 함께 병행하여 병변을 치료할 수 있습니다.
테크놀로지의 주요한 특징:
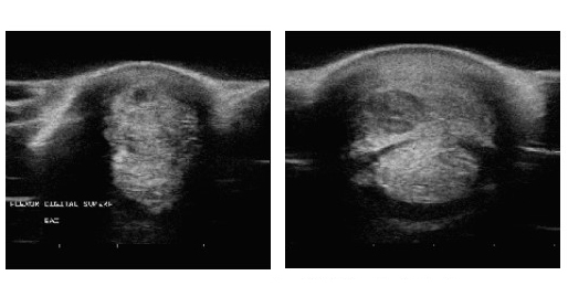
CAMPOS, MJ1. AGÜERA E.I. REQUENA F. 세포생물학, 생리학, 면역학과, 코르도바 대학교 연구박사 ” 448KHz 수용성/저항성 단극성 고주파를 말의 등간 힘줄 병리학에 사용”.
2주간 8회 세션 치료 / 부상


치료 전
치료 후
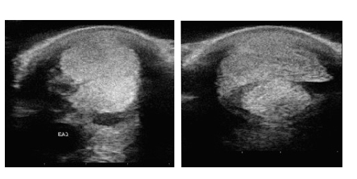
Campos MJ, Agüera EI, Requena F. Córdoba, Spain, March 2020. 세포생물학, 생리학, 면역학과, 코르도바 대학교 연구박사 ” 448KHz 수용성/저항성 단극성 고주파를 말의 등간 힘줄 병리학에 사용”.
4주간 8회 세션 치료


치료 전
치료 후

전극
전극을 사용하면서 마모되거나 손상된 전극을 교체하거나 예비 전극으로 보관할 수 있습니다.

마사지기
전극을 통해 손으로 치료하는 기술과 함께 적용하면, 더 깊고 통증이 적은 치료를 할 수 있기 때문에, 인디바로 깊이 있는 조직 마사지를 결합하는 데 이상적인 액세서리입니다.

운반 솔루션
이동식 클리닉으로도 사용할 수 있게 제작한 이 시리즈의 제품은 운반 중에 장비 및 부속품을 쉽게 보호할 수 있도록 세심하게 설계되었습니다.

벳(Vet) 전도성 젤
448kHz에서 인디바만의 고유한 전자기 전류를 전도할 뿐만 아니라, 조기 마모로부터 전극을 보호하도록 제조되었습니다.

액티브 프로아이오닉 크림
인디바®액티브(Activ) 트리트먼트의 효과를 향상시키도록 설계된 전용 크림은 약산성 pH이며 파라벤이 포함되어 있지 않습니다.
치료 후 환자가 치료 부위에서 따뜻한 감각을 느끼는 것은 정상적인 반응입니다. 환자는 또한 이 부위에 일시적인 불편함을 느낄 수도 있습니다. 드물게, 인디바 ® 프로아이오닉® (INDIBA® PROIONIC®) 크림을 바르면 경미한 피부 자극을 유발할 수 있습니다.